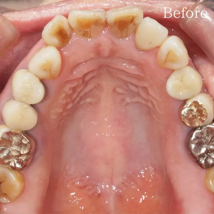
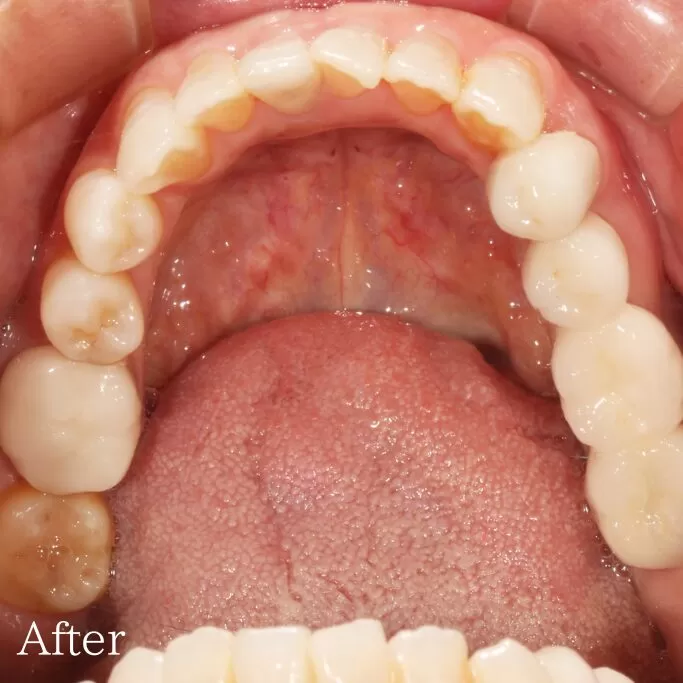
あなたの顎、曲がっていませんか?リハビリで歯を本来の位置へ












《執刀医》
セラミック担当 三井
《治療内容》
ハイクラスセラミッククラウンラミネートベニア19本
《費用》
ハイクラスセラミッククラウンラミネートベニア19本
一本あたり税込187,000円
《リスク・副作用》
症例の効果は個人差があり、記載の効果が同様に現れない場合があります。
それは事前カウンセリング、事前検査によってわかりますので、カウンセリング、検査結果はよくお聞きになっていただき、ご理解を深めた上での施術依頼をお願いいたします。
歯周病の程度や、歯牙の崩壊、本数が少ない場合、虫歯のリスクの高い人、歯根吸収のリスクが高い人、リード楽器わ加えて吹く楽器の奏者の人、糖尿病やリウマチ、血液疾患があり、治療が優先的ではない人、重度の顎関節症の人、心身衰弱の人、は歯並びの治療は適応ではありません。
またセラミックによる歯牙形態修正、歯髄除去をした場合、使用方法、環境により歯牙自体の寿命が短くなる場合もあります。
東京都の矯正治療・セラミック治療専門審美歯科
『ワイズデンタルキュア東京』
住所:東京都豊島区目白3丁目4−11 Nckビル 3階
TEL:03-3953-8766
Instagram: ys.dentalcure


