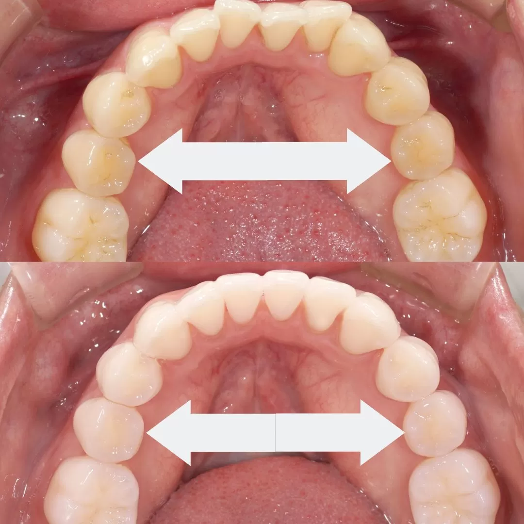
フルマウス治療とは何ができるのか?②
こんにちは、ワイズデンタルキュアです。
フルマウス治療とは、
お口の中を部分的ではなく「全体的に整える治療」 のことです。むし歯の治療だけ、1本だけ被せ物をする…というような治療ではなく、
噛み合わせ
見た目(歯並び・色)
噛む機能
歯ぐきや骨の状態
などを トータルで改善する治療 です。
① 歯がたくさん失われている・ボロボロになっている

例えば
抜けた歯が多い
むし歯や古い被せ物がたくさんある
奥歯でしっかり噛めない
このような場合は
一部だけ治しても また別の場所が悪くなる可能性があります。そのため、お口全体のバランスを整える治療を検討します。
②歯がすり減って噛み合わせが低くなっている
例えば
歯ぎしり・食いしばりが強い
歯が短くなってきた
顔が老けて見える感じがする
この場合
噛み合わせの高さを回復する治療が必要になることがあります。③重い歯周病で歯がグラグラしている
歯ぐきの病気が進んでいる
歯の位置がずれてきた
噛みにくい
このような場合は
歯ぐきの治療後に、全体の噛み合わせを整えます。④見た目と噛みやすさを一緒に改善したい

前歯の見た目が気になる
しっかり噛めない
歯並びや色も気になる
見た目だけでなく「長く使えるお口」にすることが目的です。
2026.03.18 くいしばり, セラミック, 咬合, 噛み合わせ, 審美歯科, 歯列矯正, 無料検査・カウンセリング, 虫歯, 顎関節, 顎関節症
パノラマエックス線探訪①こんなすごい状態、どう治す?
こんにちは、みなさん
さて、この画像をみてください。

これはパノラマエックス線という検査方法です。よく保険の歯科医院でも撮影します。
これでみると、歯に何が起きているのかが全体的な状況が把握できます。
ここまで崩壊しているともはや
噛み合わせの指標はありません。すべての噛んでいる位置が間違いズレていて
もう顎の関節の力で無理やり噛めているだけです。
ですから、顎の位置を見つけ出すのは歯ではなく顎の関節の良い位置で
歯はどこで噛むのだろうということが重要
なので当医院は顎の関節の治療をしているのです。
皆が知らない!本当の顎の歪みの治療 ⑧
こんにちは、ワイズデンタルキュアです。
スタート時の下の噛み合わせ面です。
治療後と比べますと、やはり元の治療部位で噛む位置の変更をしている
ことがわかります。

スタート時

治療終了時
つまりは顎の位置は歯科治療によって悪化したと言えます。
さて、顎の位置、噛み合わせの検査というものは
どのようにして行うのでしょうか?
次回からお話しようと思います。
無料カウンセリングスケッチ① 治療法は無限、ご本人の中にベストがある
こんにちは、ワイズデンタルキュアです。
今日の無料カウンセリングから、ご相談をご紹介します。
綺麗な透明感のある大きな前歯の女性。
しかしながら

向かって左側は半分ほど、虫歯の治療跡、
内部は黒くなって来ている。
ご要望は、隣の透明感のある綺麗な歯と全く同じ
前歯にしてほしいとのこと
ラミネートべニアで出来ませんか?と聞かれました。
見本となる向かって右側の歯は非常に綺麗なマメロン構造を持つ
透明感のある歯でした。
ある程度合わせることはできそうだが、まったくわからないと言われると
その後要望には内部構造からちゃんと製作する
クラウンのほうがよいと話しました。
が、しかし虫歯は幸い、マメロン構造が残っており、それならば
再度、CR充填で治されたら?とお話しましたが
色が変わるのが嫌だとのこと。
結果、できる限り削らないでクラウンとお勧めいたしました。
しかしながら、なぜこの部分だけに大きい虫歯ができるのかが
本当は論点。
そこに関しましてはお話いたしませんでしたが、多分に噛み合わせで
負荷が強いところです。
それならば歯列矯正も視野に入る。どこまでがベストなのか
というのは私たちは決められません。
正解はご自身にあるのです。
東京都の矯正治療・セラミック治療専門審美歯科
『ワイズデンタルキュア東京』
住所:東京都豊島区目白3丁目4−11 Nckビル 3階
TEL:03-3953-87662025.04.12 くいしばり, セラミック, 咬合, 噛み合わせ, 審美歯科, 歯列矯正, 無料検査・カウンセリング, 虫歯
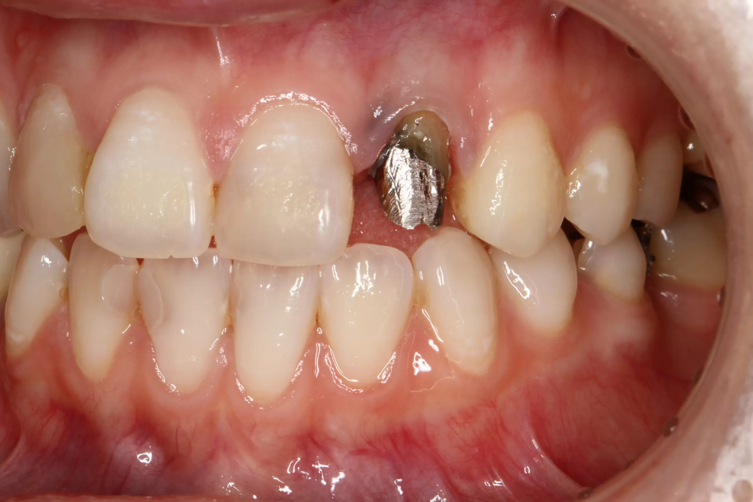
かぶせ物をしているところの歯茎、黒いんですけど?
こんにちは、ワイズデンタルキュアです。
かぶせ物の交換の理由に
歯茎が黒くなっていることがあります。

よく金属を使ったかぶせ物だからだ、色が透けているんだと言われますが
実際は

かぶせ物を外しても歯茎は黒いままです。
まあ内部に今はあまり使わないであろう、金属のコアが入っていますが
これはメタルタトゥと言われるものです。つまり入れ墨状態。
メタルコアを入れてから歯を削ったら、歯と一緒に金属も削れ
金属粉が出ます。
それが歯茎にかかり入れ墨になってしまうのです。
この場合は入れ墨のようにレーザーや、実質的に摘出しないと取れません。
東京都の矯正治療・セラミック治療専門審美歯科
『ワイズデンタルキュア東京』
住所:東京都豊島区目白3丁目4−11 Nckビル 3階
TEL:03-3953-87662025.04.10 セラミック, 審美歯科, 無料検査・カウンセリング, 虫歯
CAD-CAM冠は本当に大丈夫なのか?③皆が話していないコト
こんにちは、ワイズデンタルキュアです。
さて、お話しているCAD-CAM冠ですが、昨日は柔らかいのでたわむことが
脱離の原因になっているのではないかとお話いたしました。
仮歯がとれるというのも、たわむことが関係していると思います。
ここで考えてほしいのは、あらためて材料の硬さということです。
CAD-CAM冠はブリッジという構造は認められていません。
つまりは柔らかい、そして強度がないということを示唆しています。
ブリッジが製作しやすい主な材料は、メタル金属、セラミックならジルコニアを
使用する、または二ケイ酸リチウムとなります。
つまりそれらは硬いと分類できます。
ではCAD-CAM冠、削る際に推奨されるのは 厚み です。
たとえば金属をかぶせるなら

このようでも、CAD-CAM冠のように厚みが必要なら

この赤いくらいの厚みが必要なので歯は黒いラインのようになります。
これ、相当体積、歯が小さくないですか?
これによる、歯のダメージ、将来性、再治療可能性、考えてみてください。
なによりこのような、厚みを材料に持たせるため、
歯を削ること、そして材料の悪さを考えると
CADーCAM冠を家族には絶対入れないという、歯科医師が多いことも
頷けます。
CAD-CAM冠は本当に大丈夫なのか?② たわむ??
こんにちは、ワイズデンタルキュアです。
昨日からお話しています、CAD-CAM冠は大丈夫なのか?です。
私の肌感で、15年ほど前の広まりはじめのCAD-CAM冠 保険ではないですが
ラバアルティメットというハイブリッドブロックが、私が下手なのかやたら取れるなあと
思っておりました。
しかしながら、当時仲良くしていたほかの先生方も同じようなお話をしていた始末。
なんか外れないか???
そうこうしていたら、ラバアルティメットは急に販売中止になりました。
この件に関しましては見識者の方がより詳しいかと思いますが、思うところをお話したいと
思います。
そのころ、取れやすかった原因を話し合ったのですが
結論、やわらかい分たわむのではないか?と思いました。
ハイブリッドセラミックは、正直ほとんど樹脂です。
極論、仮歯の良いやつです。
セラミックはガラスです。
プラ板とガラス板です。これらであおいだらどうなるかと
考えたらわかるかと思います。

画像はじつはセラミックですが、たわむということは
このようなことです。
たわめば剥がれる力がかかります。
CAD-CAM冠は本当に大丈夫なのか?①
こんにちは、ワイズデンタルキュアです。
これは、一歯科医師の肌感でしかないなんのエビデンスもないお話なので
お気軽に聞き流していただいて結構です。所詮は15年前くらいの思い出話から
お暇でしたらお付き合いください。
昨日インスタグラムのストーリーズでも流したのですが
CAD-CAM冠て、外れやすくないですか?
というお話をしました。
まあ、既にCAD-CAM冠という時点で今では保険診療で使用するアイテムです。
諸事情により、保険の銀歯(12%金銀パラジウム冠)に置き換わっていっている
治療材料です。
以前、15年程前でしょうか CAD-CAM冠はまだまだ保険外診療で登場いたしました。
それは3Mのラバアルティメットという材料ブロックだったのですが
私は相当気に入っていて

こんな感じでミリングマシンというもので、患者さんの歯を
作り出していました。


朝から晩まで何本もよく装着させていただいたものです。
理由は、
製作時間が短い
艶出しがしやすかった
色も種類がたくさんあった
セラミックに比べてコストが安いので患者さんのチャージが安かった
ということです。
純粋なセラミックも相当数装着させていただいていましたが
肌感として、そのラバアルティメットは、なんだかやけに外れるな??
だったのです。その外れ方は、なんだか仮歯が取れるときに似ているなあ、というのがその感覚です。
まあ取れたらつければいい、特に今なら保険で治されている場合は治療部位は必ず
噛み合わせは強いところ
だと思います。
つづく
セラミックでの治療を最小限で美しく仕上げる方法 ⑤ 新しい歯の削り方
こんにちは、ワイズデンタルキュアです。
今日は、セラミック治療の先進的な削り方についてお話いたします。
世の中には、歯科技工士さえ上手ければどんな風に歯を削ってもごまかせると
歯医者さえ、口にする方がいますがもちろんそれは嘘です。
下の症例です。

上が6本セラミックで仕上げてあります。


いままではセラミックは、境目を歯茎の高さよりも下
にすることがセオリーでした。
そうすると、
1.歯を削る量が体積として多くなる。結果神経に影響する。
2.歯茎が影響を受けて、下がっていくことがある。
3.磨きにくい
そういうことがデメリットとして考えられました。
これらを今の強度がでてきたセラミック材料を使用することで
改善できたのが、歯茎すれすれを境目とする方法。
削る量も一目瞭然。

歯茎すれすれの境目もこのような感じです。
このような方法は歯茎が影響を受けにくいので
対口臭として使用できるのです。

これが最新のセラミック補綴です。
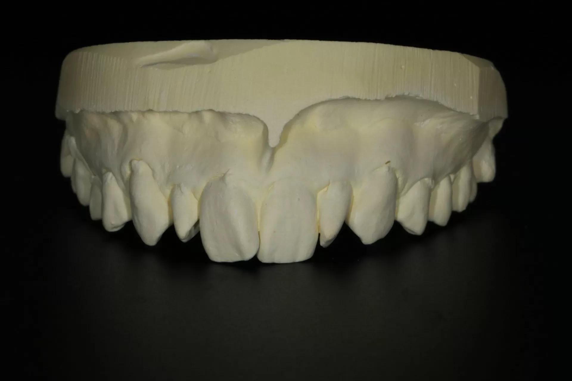
セラミックでの治療を最小限で美しく仕上げる方法①
こんにちは、ワイズデンタルキュアです。
セラミックで前歯を綺麗にしたい!そんな風に考えられる方が毎日カウンセリングに
いらしていただいていますが、
必ずお勧めしているのが、こちら

WAX―UP模型です。
これはこのような歯並びの方を

最小限、最小切削量で安全に仕上げるならどのようにするか
ご契約の前にご一緒に検討、理解しあえます。

こちらは

4本が裏側まで、クラウン。
ラミネートべニアが2本。
そんな設定であれば、ここまで治せますよ。という最小限整いプランで
ご案内します。
この計画がなければ
できあがるまで、どんな形で仕上げ、術者もとりあえず削るみたいなやり方しかできないのです。
カウンセリング時にご案内しています。
WAX-UP模型 ¥13200
2025.03.23 セラミック, セラミック矯正, 咬合, 噛み合わせ, 審美歯科, 無料検査・カウンセリング, 虫歯, 顎関節, 顎関節症


