セラミック性口臭!セラミックを入れて臭い方必見。新しいクラウンのありかた②
こんにちは、ワイズデンタルキュアです。
前回から、セラミックの口臭のお話をしています。
つづきです。
2に装着材料の選別ミスです。
基本的にセラミックはレジンセメントというもので操作します。
レジンセメントはジェル状のものがミキシングされて使用できる
注射器型をしています。
粉と液を練っているようですと、このレジンセメントではないかも
しれません。
口臭の原因になります。
3にできる限り削らず、一本一本が離れているという構造です。

今回の症例ですがこのような状態を

このように歯茎に接する部分はぎりぎりに

このように装着してあります。
全周ラミネートべニア仕上げです。
このような努力が口臭から無縁のセラミックを作り上げるのです。
価格は一本ハイクラスセラミック ¥187000
私たちはあなたの口元のコンプレックスのお悩みを解決します。
もう手でお口を隠して笑わなくてすみます。メール相談大募集!
歯を白くしたい!歯並び!噛み合わせ!歯がない!虫歯!噛めない!
入れ歯とわからないようにしたい!
などなど、幅広くお答えします。
このような方、お気軽にご相談ください。◇◇お気軽にLINE、メールでご相談ください。◇◇
歯並び、噛み合わせ、多発性の虫歯のお悩みは、
まずは各種オンライン相談で!
その方法は???
こちらのサイトのお問い合わせフォームから
お問い合わせください。
噛み合わせや、その他歯のお悩みは
そのままお困りの内容をご記載ください。
歯並びのご相談の場合はご希望の治療内容を
1.針金はいやだ!(治療期間通常1ヶ月~)
2.下の歯だけならいい(治療期間半年~)
3.針金でいい(治療期間2年~)
この三つのどれかを選んで三方向の歯並び画像と一緒に送ってください。
お待ちしております。
□□□□□□□□□□□□□□□□□□□□□□□□□□□□□□□□□□□□□□□ご予約 お電話はこちらへ03-3953-8766
お問い合わせはこちらまでお願いします。
医療法人社団 デンタルキュア
ワイズデンタルキュア
https://ys-dentalcure.jp/東京都豊島区目白3-4-11目白NCKビル3F
お電話はこちらへ03-3953-8766
JR山手線 目白駅 徒歩1分
改札口から100メートルもありません!!
再度、日本人の歯を綺麗にする・・・・BIGIN the 綺麗 をテーマに再始動します!
⭐️⭐️⭐️⭐️ 歯周病の程度や、歯牙の崩壊、本数が少ない場合、虫歯のリスクの高い人、歯根吸収のリスクが高い人、リード楽器等歯で咥えて吹く楽器の奏者の人、糖尿病やリウマチ、血液疾患があり、治療が優先的ではない人、重度の顎関節症の人、心身衰弱の人、はホワイトニングや歯並びの治療は適応ではありません。
またセラミックによる歯牙形態修正、歯髄除去をした場合、使用方法、環境により歯牙自体の寿命が短くなる場合、以下の症状が発生する場合があります。
これらの症状の発生の有無及び程度は、ご自身の体質や、治療期間中の体調、ご自身の口腔内清掃の状態により異なります。
歯の痛み、虫歯、歯肉炎、口内炎、歯根吸収、顎関節の違和感、歯槽骨吸収、歯周病、アレルギー症状、歯肉退縮2025.02.25 セラミック, デジタルスキャン, 噛み合わせ, 審美歯科, 歯列矯正, 無料検査・カウンセリング, 虫歯, 裏側矯正, 顎関節症
セラミック性口臭!セラミックを入れて臭い方必見。新しいクラウンのありかた①
こんにちは、ワイズデンタルキュアです。
無料カウンセリングをしていると、セラミックの前歯を入れてから臭いと
おっしゃる方がいてびっくり。
無料カウンセリングのご予約はこちら
現実、装着したセラミックが臭い、というのはどういうことでしょうか?
たくさんのセラミックの修正補修をしてきましたら、答えが見えてまいりました。1.型どりや、削り方がよろしくなく、ぴったりではない→ごみがたまりやすく歯周病に
2.ジルコニアを強く打ち出している院のものは、装着が接着剤ではなく仮付剤で行って
いることが、よく見受けられる。仮付剤は経年で溶けていくので隙間になり臭くなる。
3.極力、歯をつないで製作している
これらのことから、セラミックは
できる限り歯茎に影響なく、できる限り削らず、一本ずつ歯を作り、きちんとした工程で
接着することがよいことがわかります。
1に関しまして

削り方をこのように、できる限り歯茎に影響なく、できる限り削らない
ということを努めてみました。
今のジルコニアや二ケイ酸リチウムは以前よりも強度に関して、そこまで
厚みが必要ではありません。

セラミックの入る位置も歯茎ギリギリであれば、歯茎に影響がないので
当然、口臭とも無縁というわけです。
つづく
価格は一本ハイクラスセラミック ¥187000
私たちはあなたの口元のコンプレックスのお悩みを解決します。
もう手でお口を隠して笑わなくてすみます。メール相談大募集!
歯を白くしたい!歯並び!噛み合わせ!歯がない!虫歯!噛めない!
入れ歯とわからないようにしたい!
などなど、幅広くお答えします。
このような方、お気軽にご相談ください。◇◇お気軽にLINE、メールでご相談ください。◇◇
歯並び、噛み合わせ、多発性の虫歯のお悩みは、
まずは各種オンライン相談で!
その方法は???
こちらのサイトのお問い合わせフォームから
お問い合わせください。
噛み合わせや、その他歯のお悩みは
そのままお困りの内容をご記載ください。
歯並びのご相談の場合はご希望の治療内容を
1.針金はいやだ!(治療期間通常1ヶ月~)
2.下の歯だけならいい(治療期間半年~)
3.針金でいい(治療期間2年~)
この三つのどれかを選んで三方向の歯並び画像と一緒に送ってください。
お待ちしております。
□□□□□□□□□□□□□□□□□□□□□□□□□□□□□□□□□□□□□□□ご予約 お電話はこちらへ03-3953-8766
お問い合わせはこちらまでお願いします。
医療法人社団 デンタルキュア
ワイズデンタルキュア
https://ys-dentalcure.jp/東京都豊島区目白3-4-11目白NCKビル3F
お電話はこちらへ03-3953-8766
JR山手線 目白駅 徒歩1分
改札口から100メートルもありません!!
再度、日本人の歯を綺麗にする・・・・BIGIN the 綺麗 をテーマに再始動します!
⭐️⭐️⭐️⭐️ 歯周病の程度や、歯牙の崩壊、本数が少ない場合、虫歯のリスクの高い人、歯根吸収のリスクが高い人、リード楽器等歯で咥えて吹く楽器の奏者の人、糖尿病やリウマチ、血液疾患があり、治療が優先的ではない人、重度の顎関節症の人、心身衰弱の人、はホワイトニングや歯並びの治療は適応ではありません。
またセラミックによる歯牙形態修正、歯髄除去をした場合、使用方法、環境により歯牙自体の寿命が短くなる場合、以下の症状が発生する場合があります。
これらの症状の発生の有無及び程度は、ご自身の体質や、治療期間中の体調、ご自身の口腔内清掃の状態により異なります。
歯の痛み、虫歯、歯肉炎、口内炎、歯根吸収、顎関節の違和感、歯槽骨吸収、歯周病、アレルギー症状、歯肉退縮2025.02.24 セラミック, デジタルスキャン, 審美歯科, 無料検査・カウンセリング, 虫歯, 裏側矯正, 顎関節症
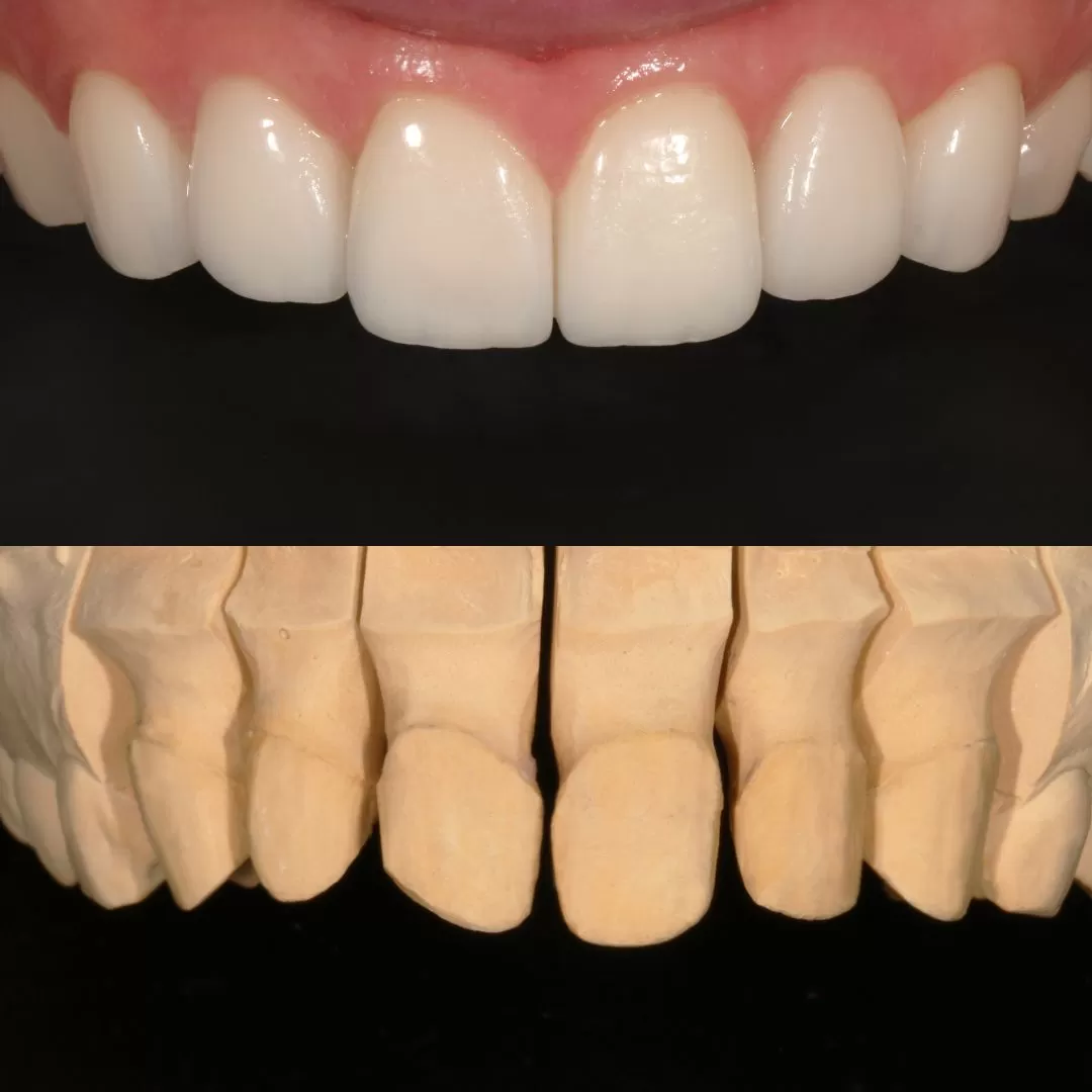
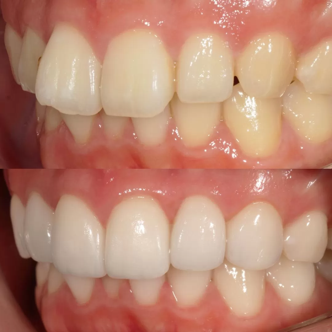
うさぎちゃんにさようなら、大人の女性の口元に大変身な一か月③
こんにちは、ワイズデンタルキュアです。
今日は休診日になりますが、移動しながらブログの更新をしています。
さて先日からご紹介している うさぎちゃん ですが
綺麗の秘訣、とともに長持ちさせる歯科医師側の新努力についてお話します。
まずは、お口の中に装着した状態です。
こちらはクラウンと呼ばれる、全部かぶせられた状態になりますが
皆さんが通常お受けになっているクラウンの半分以下の歯の切削量に
なっています。
周り一周ラミネートべニアという状態になります。


このような歯の削り方は
1にご自身のもつ、歯の内部構造を生かし、薄いセラミックで
覆うことで、今まで表層のセラミックだけで歯のグラデーションを
表現していたものが
内部から透けて見えてくるということができます。
もっとも自然感を作り出せる方法です。
つづく
前歯6本をセラミッククラウンにて仕上げました。
価格は一本ハイクラスセラミック ¥187000
私たちはあなたの口元のコンプレックスのお悩みを解決します。
もう手でお口を隠して笑わなくてすみます。メール相談大募集!
歯を白くしたい!歯並び!噛み合わせ!歯がない!虫歯!噛めない!
入れ歯とわからないようにしたい!
などなど、幅広くお答えします。
このような方、お気軽にご相談ください。◇◇お気軽にLINE、メールでご相談ください。◇◇
歯並び、噛み合わせ、多発性の虫歯のお悩みは、
まずは各種オンライン相談で!
その方法は???
こちらのサイトのお問い合わせフォームから
お問い合わせください。
噛み合わせや、その他歯のお悩みは
そのままお困りの内容をご記載ください。
歯並びのご相談の場合はご希望の治療内容を
1.針金はいやだ!(治療期間通常1ヶ月~)
2.下の歯だけならいい(治療期間半年~)
3.針金でいい(治療期間2年~)
この三つのどれかを選んで三方向の歯並び画像と一緒に送ってください。
お待ちしております。
□□□□□□□□□□□□□□□□□□□□□□□□□□□□□□□□□□□□□□□ご予約 お電話はこちらへ03-3953-8766
お問い合わせはこちらまでお願いします。
医療法人社団 デンタルキュア
ワイズデンタルキュア
https://ys-dentalcure.jp/東京都豊島区目白3-4-11目白NCKビル3F
お電話はこちらへ03-3953-8766
JR山手線 目白駅 徒歩1分
改札口から100メートルもありません!!
再度、日本人の歯を綺麗にする・・・・BIGIN the 綺麗 をテーマに再始動します!
⭐️⭐️⭐️⭐️ 歯周病の程度や、歯牙の崩壊、本数が少ない場合、虫歯のリスクの高い人、歯根吸収のリスクが高い人、リード楽器等歯で咥えて吹く楽器の奏者の人、糖尿病やリウマチ、血液疾患があり、治療が優先的ではない人、重度の顎関節症の人、心身衰弱の人、はホワイトニングや歯並びの治療は適応ではありません。
またセラミックによる歯牙形態修正、歯髄除去をした場合、使用方法、環境により歯牙自体の寿命が短くなる場合、以下の症状が発生する場合があります。
これらの症状の発生の有無及び程度は、ご自身の体質や、治療期間中の体調、ご自身の口腔内清掃の状態により異なります。
歯の痛み、虫歯、歯肉炎、口内炎、歯根吸収、顎関節の違和感、歯槽骨吸収、歯周病、アレルギー症状、歯肉退縮2025.02.23 セラミック, 噛み合わせ, 審美歯科, 歯列矯正, 無料検査・カウンセリング, 虫歯, 裏側矯正, 顎関節症
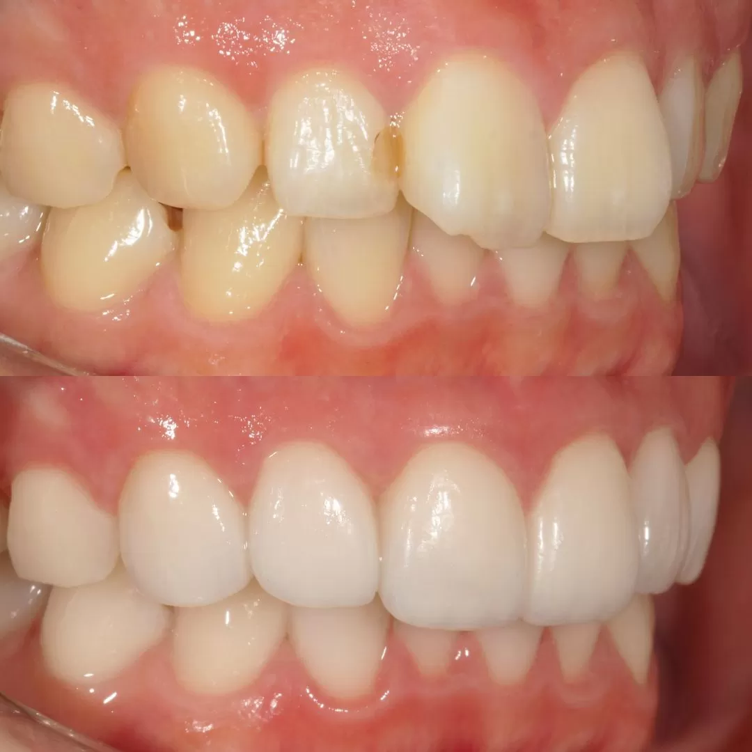
うさぎちゃんにさようなら、大人の女性の口元に大変身な一か月②
うさぎちゃんのお悩み



歯並びをセラミックで治すと歯がダメになると聞いたが
本当か教えてほしい今回の主訴でした。
歯並びをセラミックで治すと歯にいいのか、悪いのか?
この答えをするだけなら、単純に 良くはない というのが
答えなぜならば、失うものも多いから。
歯質、時に神経つまりダメにする要素は
歯を削ることと、神経を残さないことです。
というのならば、歯をどこまで削らないで、神経を残し
どこまで仕上げられるか?ということを問いかけたのが
今回のケースです。特に今回のケース、歯列矯正で仕上げても前歯の形の不揃いは
どうしますか?
気にならなければ良いかもですが、気にするなら。
場合によっては歯列矯正をしても、セラミックを使用する
処置は必要かもしれません。歯並びは一般的には歯列矯正で治すものです。
しかしながら、歯列矯正にも闇はあるもので、みなさんが
思われているよりも相当数、歯列矯正を途中でやめている人はいたりするんです。
特に気軽にはじめた、マウスピース矯正はその確率は
格段に上がります。歯列矯正を途中でやめるとそのあとのリカバリーは
セラミックの治療に回ってくることが多いのです。その際のセラミックを使用する歯の本数、失う歯質の量
神経をとったり、歯をぬくこととなったり失うものは、最初からセラミックを選択なさったケースよりも
格段に多くなります。何が良いのか、悪いのかではなく。
ご自身の人生設計に何があうのか?そういうことだと思います。
前歯6本をセラミッククラウンにて仕上げました。
価格は一本ハイクラスセラミック ¥187000
デンタルローンはスルガ銀行、アプラスがございます。
私たちはあなたの口元のコンプレックスのお悩みを解決します。
もう手でお口を隠して笑わなくてすみます。
メール相談大募集!
歯を白くしたい!歯並び!噛み合わせ!歯がない!虫歯!噛めない!
入れ歯とわからないようにしたい!
などなど、幅広くお答えします。
このような方、お気軽にご相談ください。ワイズは世間のイメージと違い
逆にお口が崩壊しているような
画像のような症例が得意です。
◇◇お気軽にLINE、メールでご相談ください。◇◇
歯並び、噛み合わせ、多発性の虫歯のお悩みは、
まずは各種オンライン相談で!
その方法は???
こちらのサイトのお問い合わせフォームから
お問い合わせください。
噛み合わせや、その他歯のお悩みは
そのままお困りの内容をご記載ください。
歯並びのご相談の場合はご希望の治療内容を
1.針金はいやだ!(治療期間通常1ヶ月~)
2.下の歯だけならいい(治療期間半年~)
3.針金でいい(治療期間2年~)
この三つのどれかを選んで三方向の歯並び画像と一緒に送ってください。
お待ちしております。
□□□□□□□□□□□□□□□□□□□□□□□□□□□□□□□□□□□□□□□ご予約 お電話はこちらへ03-3953-8766
お問い合わせはこちらまでお願いします。
医療法人社団 デンタルキュア
ワイズデンタルキュア
https://ys-dentalcure.jp/東京都豊島区目白3-4-11目白NCKビル3F
お電話はこちらへ03-3953-8766
JR山手線 目白駅 徒歩1分
改札口から100メートルもありません!!
再度、日本人の歯を綺麗にする・・・・BIGIN the 綺麗 をテーマに再始動します!
⭐️⭐️⭐️⭐️ 歯周病の程度や、歯牙の崩壊、本数が少ない場合、虫歯のリスクの高い人、歯根吸収のリスクが高い人、リード楽器等歯で咥えて吹く楽器の奏者の人、糖尿病やリウマチ、血液疾患があり、治療が優先的ではない人、重度の顎関節症の人、心身衰弱の人、はホワイトニングや歯並びの治療は適応ではありません。
またセラミックによる歯牙形態修正、歯髄除去をした場合、使用方法、環境により歯牙自体の寿命が短くなる場合、以下の症状が発生する場合があります。
これらの症状の発生の有無及び程度は、ご自身の体質や、治療期間中の体調、ご自身の口腔内清掃の状態により異なります。
歯の痛み、虫歯、歯肉炎、口内炎、歯根吸収、顎関節の違和感、歯槽骨吸収、歯周病、アレルギー症状、歯肉退縮2025.02.23 セラミック, 噛み合わせ, 審美歯科, 歯列矯正, 無料検査・カウンセリング, 虫歯, 裏側矯正, 顎関節症
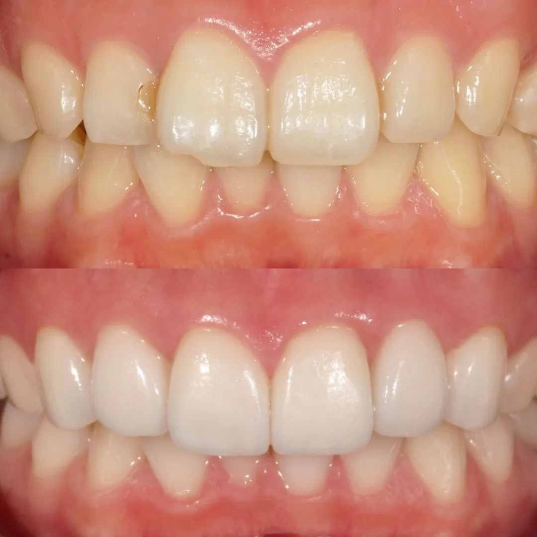
うさぎちゃんにさようなら、大人の女性の口元に大変身な一か月①
まずはじっくり見てください。前歯6本をセラミッククラウンにて仕上げました。
価格は一本ハイクラスセラミック ¥187000



今回の症例には、歯列、歯形修正系のセラミックでの多くの矛盾があります。
まずセラミックで歯列、歯形修正をするならば、歯をその分削らなくてはなりません。
歯を削れば削るほど、近頃ちまたの歯科医師たちがいうところの◇歯のデザイン◇はしやすいでしょう。
しかしながら、歯を削らなければ削らないほど、歯は寿命的リスクは小さい、
簡単に言えば長持ちします。このように、歯をセラミックで綺麗にしたいためには、歯の切削量が必要
しかし、歯の為には削らなければ削らないほど、長持ちと言える。つまり、セラミックで歯列、歯形修正をするには今までは、このような大きな矛盾の中
綺麗にしたいから歯をたくさん削ることは致し方がない、という正論で成り立ってきたと
言えます。しかしながら今回の症例は、ご本人の要望であるうさぎちゃんからの離別ということを
念頭に、この矛盾に思いっきり立ち向かいました。全てがラミネートべニア加工、つまりかぶせてある歯さえ薄いセラミックが全周覆っている
フルラミネートべニアでびっくりするほど、少しずつ、本当に削らなくてはいけないところだけを
削りました。その方法については次回のフィードでご説明。
これからは、歯を削りたくなく治すならセラミックという時代。
CAD-CAM冠は歯をかなり削らないと入りません。今回はそんな選択の時代に、ワイズデンタルキュア的アプローチで挑んだ
意欲作として仕上げました。何かいつもとの違いを感じていただけたら幸いです。
お口のお悩み、お困りの方はお気軽に
公式LINEアカウントをご登録いただいて
無料カウンセリングのご予約ご相談
お願いいたします。プロフィールからWEBサイトへアクセスしていただき、
公式LINE
お電話
メールフォーム✉️
をご利用いただき、ご相談ください😆
公式LINEアカウントの場合は
@ys.dentalcure
ご登録いただき、ご予約お願いいたします。症例の効果は個人差があり、記載の効果が同様に現れない場合があります。
それは事前カウンセリング、事前検査によってわかりますので、カウンセリング、
検査結果はよくお聞きになっていただき、ご理解を深めた上での施術依頼をお願いいたします。
歯周病の程度や、歯牙の崩壊、本数が少ない場合、虫歯のリスクの高い人、
歯根吸収のリスクが高い人、リード楽器等歯で咥えて吹く楽器の奏者の人、
糖尿病やリウマチ、血液疾患があり、治療が優先的ではない人、
重度の顎関節症の人、心身衰弱の人、は歯並びの治療は適応ではありません。
またセラミックによる歯牙形態修正、歯髄除去をした場合、
使用方法、環境により歯牙自体の寿命が短くなる場合もあります。
ワイヤー器具、マウスピース器具などを用いた歯列矯正、
セラミックによる歯列修正おこなった場合、以下の症状が発生する場合があります。
これらの症状の発生の有無及び程度は、ご自身の体質や、治療期間中の体調、
ご自身の口腔内清掃の状態により異なります。
歯の痛み、虫歯、歯肉炎、口内炎、歯根吸収、顎関節の違和感、歯槽骨吸収、歯周病、
アレルギー症状、歯肉退縮#ワイズデンタルキュア #セラミック矯正 #歯科#歯列矯正 #矯正女子 #骨格矯正
#マウスピース矯正 #矯正歯科 #dental #dentalcare #dentalclinic #dentalhealth
#dentallab #dentallife #dentaloffice #dentalart #dentalveneers #dentallaboratory
#dentalwork #dentalphotography #ホワイトニング#審美歯科 #顎関節症#ガミースマイル
#表側矯正#裏側矯正#インプラント#ジルコニア#くいしばり#くいしばり改善矯正をして面長にならない?歯列矯正 DM質問コーナー
ご好評いただいている、DM質問コーナーです。
今回はこちら。

たしかに不安ですよね。
でも患者さんてこんなことまで、考える時代になったのですよ。
以前は歯並びさえ整えば何も言われないのが歯列矯正でした。
実際ご相談の噛み合わせが高くなることで、噛み合わせが良くなる場合
面長にならないか?
それはNOです。
高くなるのは奥歯であるので、お顔のラインがシャープになるだけで
(リフトアップ効果ですよ。)
きちんと噛み合わせの検査と歯列矯正の精密検査を行っている場合は
綺麗になることはあっても悪くなることはありません。
特にこのご紹介の方は、一見、シャクレというような状態で
他の歯科では
骨を切る
そういわれていたそうです。
噛み合わせの検査をしないと顎の位置が実際には噛んだ状態しかわからないので
間違った位置を基準にして歯列矯正が始まってしまいます。
噛み合わせの検査は以下の通りです。
そして結果から、下のような説明を精密検査としてご提案します。
お顔の大体の治療後の変化も見れますので安心していただけると思います。
面長になるのか?というご質問に対してお答えしている動画となります。
見てみてください。
ご相談いつでもお受けしております。
ローンはスルガ銀行、
スルガ銀行は一年間元金据え置きローンもあるので、
月三千円代から歯列矯正ができます。
私たちはあなたの口元のコンプレックスのお悩みを解決します。
もう手でお口を隠して笑わなくてすみます。
メール相談大募集!
歯を白くしたい!歯並び!噛み合わせ!歯がない!虫歯!噛めない!
入れ歯とわからないようにしたい!
などなど、幅広くお答えします。
このような方、お気軽にご相談ください。ワイズは世間のイメージと違い
逆にお口が崩壊しているような
画像のような症例が得意です。
◇◇お気軽にLINE、メールでご相談ください。◇◇
歯並び、噛み合わせ、多発性の虫歯のお悩みは、
まずは各種オンライン相談で!
その方法は???
1.こちらのサイトのお問い合わせフォームから
お問い合わせいただく
2.公式LINEから相談をいただく。
3.直接メールをいただく。
そのままお困りの内容をご記載ください。
お待ちしております。
□□□□□□□□□□□□□□□□□□□□□□□□□□□□□□□□□□□□□□□ご予約 お電話はこちらへ03-3953-8766
お問い合わせはこちらまでお願いします。
医療法人社団 デンタルキュア
ワイズデンタルキュア
https://ys-dentalcure.jp/東京都豊島区目白3-4-11目白NCKビル3F
お電話はこちらへ03-3953-8766
JR山手線 目白駅 徒歩1分
改札口から100メートルもありません!!
再度、日本人の歯を綺麗にする・・・・BIGIN the 綺麗 をテーマに再始動します!
⭐️⭐️⭐️⭐️ 歯周病の程度や、歯牙の崩壊、本数が少ない場合、虫歯のリスクの高い人、歯根吸収のリスクが高い人、リード楽器等歯で咥えて吹く楽器の奏者の人、糖尿病やリウマチ、血液疾患があり、治療が優先的ではない人、重度の顎関節症の人、心身衰弱の人、はホワイトニングや歯並びの治療は適応ではありません。
またセラミックによる歯牙形態修正、歯髄除去をした場合、使用方法、環境により歯牙自体の寿命が短くなる場合、以下の症状が発生する場合があります。
これらの症状の発生の有無及び程度は、ご自身の体質や、治療期間中の体調、ご自身の口腔内清掃の状態により異なります。
歯の痛み、虫歯、歯肉炎、口内炎、歯根吸収、顎関節の違和感、歯槽骨吸収、歯周病、アレルギー症状、歯肉退縮2022.07.05 セラミック, デジタルスキャン, ハーモニー矯正, 受け口, 噛み合わせ, 審美歯科, 歯列矯正, 無料検査・カウンセリング, 虫歯, 裏側矯正, 顎関節症
顎関節症とはなにか?第五回 治療編③総括
今回が最後になります。
3.治療で得た噛み合わせに現在の噛み合わせを再構築
こちらの噛み合わせの患者さんです。



こちらの噛み合わせの状態の顎の解説動画になります。見てください↓
そこで、今回のブログの第三回でご紹介しているマウスピース(スプリント)の作製をしました。
はめた状態です。

結構高さありました、この方は。その分
顎の関節を圧迫していたということです。
これを寝るときにだけはめてもらい症状の緩和を確認しながら
高さの調整をします。
そして見つけ出した顎の関節ベースの噛み合わせの位置はこちらです。



前から見たところでは下の歯が見えてきているのがわかりますか?
下の顎と上の顎も真ん中があっています。
横から上の歯と下の歯の間にスペースが開いているのがわかると思います。
この位置で噛めるよう、歯の形を変えるのです。
この状態のCTスキャンの解説です↓先に見たものと比べてみてください。
ということで、この位置で噛ませるよう、詰め物、かぶせ物、歯列矯正を駆使して正しく噛めるよう
修正する治療が本来のこの顎の関節の治療のファイナルなのです。
また今回の治療で顎のゆがみ、顔のゆがみがとれたことのご説明です↓治療前から

白い三角の位置に正面からお鼻があるように見えるはずの画像位置です。
そう理解していただいて続きを見てください。
治療後の正面の画像の解説です↓
ということで、この位置が症状の緩和もできましたし、見え方としてのバランスもいいわけです。
お顔のゆがみもとれる唯一の歯科治療と言えます。
歯列矯正だけではゆがみはとれません。
ここまでの治療が、顎関節治療、噛み合わせの治療の全体像となります。
価格に関しましては、顎の関節の治療後に形や位置を変えたほうがいい部位がわかりますので
その段階でお見積りとなります。
長い間お読みになっていただきありがとうございました。
ご相談いつでもお受けしております。
ローンはスルガ銀行、
スルガ銀行は一年間元金据え置きローンもあるので、
月三千円代から歯列矯正ができます。
私たちはあなたの口元のコンプレックスのお悩みを解決します。
もう手でお口を隠して笑わなくてすみます。
メール相談大募集!
歯を白くしたい!歯並び!噛み合わせ!歯がない!虫歯!噛めない!
入れ歯とわからないようにしたい!
などなど、幅広くお答えします。
このような方、お気軽にご相談ください。ワイズは世間のイメージと違い
逆にお口が崩壊しているような
画像のような症例が得意です。
◇◇お気軽にLINE、メールでご相談ください。◇◇
歯並び、噛み合わせ、多発性の虫歯のお悩みは、
まずは各種オンライン相談で!
その方法は???
1.こちらのサイトのお問い合わせフォームから
お問い合わせいただく
2.公式LINEから相談をいただく。

3.直接メールをいただく。
そのままお困りの内容をご記載ください。
お待ちしております。
□□□□□□□□□□□□□□□□□□□□□□□□□□□□□□□□□□□□□□□ご予約 お電話はこちらへ03-3953-8766
お問い合わせはこちらまでお願いします。
医療法人社団 デンタルキュア
ワイズデンタルキュア
https://ys-dentalcure.jp/東京都豊島区目白3-4-11目白NCKビル3F
お電話はこちらへ03-3953-8766
JR山手線 目白駅 徒歩1分

改札口から100メートルもありません!!
再度、日本人の歯を綺麗にする・・・・BIGIN the 綺麗 をテーマに再始動します!
⭐️⭐️⭐️⭐️ 歯周病の程度や、歯牙の崩壊、本数が少ない場合、虫歯のリスクの高い人、歯根吸収のリスクが高い人、リード楽器等歯で咥えて吹く楽器の奏者の人、糖尿病やリウマチ、血液疾患があり、治療が優先的ではない人、重度の顎関節症の人、心身衰弱の人、はホワイトニングや歯並びの治療は適応ではありません。
またセラミックによる歯牙形態修正、歯髄除去をした場合、使用方法、環境により歯牙自体の寿命が短くなる場合、以下の症状が発生する場合があります。
これらの症状の発生の有無及び程度は、ご自身の体質や、治療期間中の体調、ご自身の口腔内清掃の状態により異なります。
歯の痛み、虫歯、歯肉炎、口内炎、歯根吸収、顎関節の違和感、歯槽骨吸収、歯周病、アレルギー症状、歯肉退縮2022.03.22 セラミック, セラミック矯正, 受け口, 噛み合わせ, 審美歯科, 歯列矯正, 虫歯, 裏側矯正, 顎関節症
顎関節症とはなにか?第三回 治療編①
さて前回までで顎関節症の症状をお話していきました。
今回からはその治療についてお話いたします。
では、まずご本人に症状をお聞きします。
この状態のこの方の顎の関節のCTスキャンです。
左側の関節です。


関節の隙間が少なく、関節を圧迫していますから
つまり先にお見せした
動画と同じ状態ということです。
口が開くときも閉まるときも軟骨が外れて音がする。
まさにこの状態ということです。
右側の関節のCTスキャンです。

こちらも同じくです。
両側音が鳴るのもうなずけます。
顎の本来の理想の噛み合わせの指標を見つけるために
顎の位置の測定をします。
顎の位置の計測と共に、体のバランスも良くなる噛み合わせの高さも
探ります。この方はワックス6枚が最もバランスが良かったです。
その位置を手掛かりにマウスピースのベースを作成します。
10日程のち、マウスピースは出来上がります。
こちらは装着時の体感検査です。
こちらのマウスピースは夜寝るときだけ入れていただきます。
翌週からマウスピースの調整を度々します。
顎が治っていく過程で、筋肉が緩みいろんな方向に動き出すためです。
そのため食いしばり歯ぎしりも消えます。
数日後の感想です。
マウスピースの調整は、

このように全体が当たるようになり、前歯が横に動かす
ガイドになるまで続くのです。
調整の度、どんどん身体的、精神的症状はなくなるのです。
この状態になった時のこの患者さんのCTスキャンの比較はこちらです。
治療前 左側

治療後 左側

治療前 右側

治療後 右側

関節圧迫が取れているのがわかるでしょうか?
これが治療後の状態です。
次回はここからどうしていくのか?
ケース毎に解説していこうと思います。
◆おまけの講釈◆

赤い線は耳の穴です。
顎関節は耳の穴の裏側に位置します。
耳の穴を関節が圧迫していたらどうなりますか?
耳鳴り、難聴、めまい、統合失調症
耳にかかわる病気はこれが理由かもしれません。
ではまた次回!
ご相談いつでもお受けしております。
ローンはスルガ銀行、
スルガ銀行は一年間元金据え置きローンもあるので、
月三千円代から歯列矯正ができます。
私たちはあなたの口元のコンプレックスのお悩みを解決します。
もう手でお口を隠して笑わなくてすみます。
メール相談大募集!
歯を白くしたい!歯並び!噛み合わせ!歯がない!虫歯!噛めない!
入れ歯とわからないようにしたい!
などなど、幅広くお答えします。
このような方、お気軽にご相談ください。ワイズは世間のイメージと違い
逆にお口が崩壊しているような
画像のような症例が得意です。
◇◇お気軽にLINE、メールでご相談ください。◇◇
歯並び、噛み合わせ、多発性の虫歯のお悩みは、
まずは各種オンライン相談で!
その方法は???
1.こちらのサイトのお問い合わせフォームから
お問い合わせいただく
2.公式LINEから相談をいただく。
3.直接メールをいただく。
そのままお困りの内容をご記載ください。
お待ちしております。
□□□□□□□□□□□□□□□□□□□□□□□□□□□□□□□□□□□□□□□ご予約 お電話はこちらへ03-3953-8766
お問い合わせはこちらまでお願いします。
医療法人社団 デンタルキュア
ワイズデンタルキュア
https://ys-dentalcure.jp/東京都豊島区目白3-4-11目白NCKビル3F
お電話はこちらへ03-3953-8766
JR山手線 目白駅 徒歩1分
改札口から100メートルもありません!!
再度、日本人の歯を綺麗にする・・・・BIGIN the 綺麗 をテーマに再始動します!
⭐️⭐️⭐️⭐️ 歯周病の程度や、歯牙の崩壊、本数が少ない場合、虫歯のリスクの高い人、歯根吸収のリスクが高い人、リード楽器等歯で咥えて吹く楽器の奏者の人、糖尿病やリウマチ、血液疾患があり、治療が優先的ではない人、重度の顎関節症の人、心身衰弱の人、はホワイトニングや歯並びの治療は適応ではありません。
またセラミックによる歯牙形態修正、歯髄除去をした場合、使用方法、環境により歯牙自体の寿命が短くなる場合、以下の症状が発生する場合があります。
これらの症状の発生の有無及び程度は、ご自身の体質や、治療期間中の体調、ご自身の口腔内清掃の状態により異なります。
歯の痛み、虫歯、歯肉炎、口内炎、歯根吸収、顎関節の違和感、歯槽骨吸収、歯周病、アレルギー症状、歯肉退縮2022.03.21 セラミック, セラミック矯正, デジタルスキャン, 噛み合わせ, 審美歯科, 歯列矯正, 虫歯, 裏側矯正, 顎関節症
顎関節症とはなにか?第二回 症状編②
前回のブログ
今回はこの続きです。
それでは様々な症状を前回に引き続き、解剖動画をお見せして説明していきます。
閉じるとき軟骨のスペースがなくなり音が出るパターンです。
ここで考えると、開くとき、閉じるときに音が鳴るパターンより
閉じるときになるだけになった!というのは
治っていっているわけではなく
悪くなっていっているということです。
音がしなくなったと喜んでいる場合ではないのです。ホント。
顎関節症は関節が音がすることを顎関節症というのではなく
◆口が開かない、開きにくい
◆顎が痛い
◆顔が痛い
◆頭が痛い、朝起きると頭痛がする
◆食いしばり、歯ぎしり
◆後頭部、首筋の痛み
◆肩こり、背中、腰痛
◆鬱病
◆めまい、難聴、耳鳴り、統合失調症
これらのような症状も顎関節症にはあると言えます。
バカにできません。
また、関節の圧迫があってもこのように明確な外科的症状が
ない症例もあり、
その場合は、食いしばり歯ぎしり、関節痛などから始まる
体全体の症状へと波及していきます。
体の歪みです。
顎関節症は意外に多くの人がかかっている病気なのです。
虫歯が多い人、歯列矯正をした人など顎関節症になっているケースは
多く見られます。
皆さんにも心当たりありませんか?
次回は、実際にどのように治療していくかお話しします。
読んでいただきありがとうございました。
ご相談いつでもお受けしております。
ローンはスルガ銀行、
スルガ銀行は一年間元金据え置きローンもあるので、
月三千円代から歯列矯正ができます。
私たちはあなたの口元のコンプレックスのお悩みを解決します。
もう手でお口を隠して笑わなくてすみます。
メール相談大募集!
歯を白くしたい!歯並び!噛み合わせ!歯がない!虫歯!噛めない!
入れ歯とわからないようにしたい!
などなど、幅広くお答えします。
このような方、お気軽にご相談ください。ワイズは世間のイメージと違い
逆にお口が崩壊しているような
画像のような症例が得意です。
◇◇お気軽にLINE、メールでご相談ください。◇◇
歯並び、噛み合わせ、多発性の虫歯のお悩みは、
まずは各種オンライン相談で!
その方法は???
1.こちらのサイトのお問い合わせフォームから
お問い合わせいただく
2.公式LINEから相談をいただく。
3.直接メールをいただく。
そのままお困りの内容をご記載ください。
お待ちしております。
□□□□□□□□□□□□□□□□□□□□□□□□□□□□□□□□□□□□□□□ご予約 お電話はこちらへ03-3953-8766
お問い合わせはこちらまでお願いします。
医療法人社団 デンタルキュア
ワイズデンタルキュア
https://ys-dentalcure.jp/東京都豊島区目白3-4-11目白NCKビル3F
お電話はこちらへ03-3953-8766
JR山手線 目白駅 徒歩1分
改札口から100メートルもありません!!
再度、日本人の歯を綺麗にする・・・・BIGIN the 綺麗 をテーマに再始動します!
⭐️⭐️⭐️⭐️ 歯周病の程度や、歯牙の崩壊、本数が少ない場合、虫歯のリスクの高い人、歯根吸収のリスクが高い人、リード楽器等歯で咥えて吹く楽器の奏者の人、糖尿病やリウマチ、血液疾患があり、治療が優先的ではない人、重度の顎関節症の人、心身衰弱の人、はホワイトニングや歯並びの治療は適応ではありません。
またセラミックによる歯牙形態修正、歯髄除去をした場合、使用方法、環境により歯牙自体の寿命が短くなる場合、以下の症状が発生する場合があります。
これらの症状の発生の有無及び程度は、ご自身の体質や、治療期間中の体調、ご自身の口腔内清掃の状態により異なります。
歯の痛み、虫歯、歯肉炎、口内炎、歯根吸収、顎関節の違和感、歯槽骨吸収、歯周病、アレルギー症状、歯肉退縮2022.03.21 セラミック, セラミック矯正, 受け口, 噛み合わせ, 審美歯科, 歯列矯正, 虫歯, 裏側矯正, 顎関節症
顎関節症とはなにか?第一回 症状編①
顎関節症を顎がカクっとなる症状だけだと軽んじてませんか?
指がポキッと鳴らすことが得意な方もいると思います。
あれとは違うのです。
音を出しているのは軟骨。それはどういう状態なのか?
顎関節というのはこの赤い丸です。

次の動画を見てください。閲覧注意です。説明音声あります。
この動画は以前海外の先生にいただきました。もう20年くらい前です。
ほら、あまり呑気にできなくなったでしょ?
カクって音がする人~笑 大丈夫かな自分って思ってこないですか?
そうです。大丈夫じゃないのです。日々関節の軟骨はカクカクいう度
削れていってます。破損していってます。
ではふつうはどうなの?ってのを見てみましょう。
普通のというか、理想的な関節の動きをお見せするとこうです。
解剖学の動画なのでとってもリアルというかホンモノです。
説明していきます。

赤丸のところを動画の画像をキャプチャーして実線でなぞります。
正常な顎関節 閉じているところ

顎の関節は動画をみてもらえばわかる通り、
大きくお口を開けるとダイナミックに前進するよう
動く、体の中で3Dで動く唯一の関節です。
正常な関節 大きくお口を開けたところ

軟骨は青の線の関節窩と赤い線の関節頭の間を余裕持った幅で
存在できて、自由に機能しています。
改めてカクっと音がする関節を見てみてください。
それでは、カクっと音がする顎関節を実線を引いて説明します。

赤丸の部分です。


軟骨が存在できるスペースが恐ろしく狭くなっているのがわかりますか?
これが関節の圧迫です。
軟骨に実線を引いてみます。

関節窩と関節頭との間の軟骨はこんなに圧迫されペラペラ
本当はこんなに分厚いのに。

怖くないですか?こんなに顎の音が鳴るということは
怖いことなのです。
次回に続きます。
読んでいただきありがとうございました。
ご相談いつでもお受けしております。
ローンはスルガ銀行、
スルガ銀行は一年間元金据え置きローンもあるので、
月三千円代から歯列矯正ができます。
私たちはあなたの口元のコンプレックスのお悩みを解決します。
もう手でお口を隠して笑わなくてすみます。
メール相談大募集!
歯を白くしたい!歯並び!噛み合わせ!歯がない!虫歯!噛めない!
入れ歯とわからないようにしたい!
などなど、幅広くお答えします。
このような方、お気軽にご相談ください。ワイズは世間のイメージと違い
逆にお口が崩壊しているような
画像のような症例が得意です。
◇◇お気軽にLINE、メールでご相談ください。◇◇
歯並び、噛み合わせ、多発性の虫歯のお悩みは、
まずは各種オンライン相談で!
その方法は???
1.こちらのサイトのお問い合わせフォームから
お問い合わせいただく
2.公式LINEから相談をいただく。
3.直接メールをいただく。
そのままお困りの内容をご記載ください。
お待ちしております。
□□□□□□□□□□□□□□□□□□□□□□□□□□□□□□□□□□□□□□□ご予約 お電話はこちらへ03-3953-8766
お問い合わせはこちらまでお願いします。
医療法人社団 デンタルキュア
ワイズデンタルキュア
https://ys-dentalcure.jp/東京都豊島区目白3-4-11目白NCKビル3F
お電話はこちらへ03-3953-8766
JR山手線 目白駅 徒歩1分
改札口から100メートルもありません!!
再度、日本人の歯を綺麗にする・・・・BIGIN the 綺麗 をテーマに再始動します!
⭐️⭐️⭐️⭐️ 歯周病の程度や、歯牙の崩壊、本数が少ない場合、虫歯のリスクの高い人、歯根吸収のリスクが高い人、リード楽器等歯で咥えて吹く楽器の奏者の人、糖尿病やリウマチ、血液疾患があり、治療が優先的ではない人、重度の顎関節症の人、心身衰弱の人、はホワイトニングや歯並びの治療は適応ではありません。
またセラミックによる歯牙形態修正、歯髄除去をした場合、使用方法、環境により歯牙自体の寿命が短くなる場合、以下の症状が発生する場合があります。
これらの症状の発生の有無及び程度は、ご自身の体質や、治療期間中の体調、ご自身の口腔内清掃の状態により異なります。
歯の痛み、虫歯、歯肉炎、口内炎、歯根吸収、顎関節の違和感、歯槽骨吸収、歯周病、アレルギー症状、歯肉退縮2022.03.17 セラミック, セラミック矯正, 受け口, 噛み合わせ, 審美歯科, 歯列矯正, 虫歯, 裏側矯正, 顎関節症


