セラミックでの治療を最小限で美しく仕上げる方法 ⑦ いろんな歯の作り方2
こんにちは、ワイズデンタルキュアです。
先日からいろんなセラミックの製作方法についてお話しています。
今回は、CAD-CAMを利用した、セラミックの作成方法をお話いたします。
前歯6本、ラミネートべニアとクラウンの混合で型をとりました。

もはや症例自体、15年前のもので今よりもセラミックも弱いので
歯を削る量が多くなっているので、お恥ずかしいです。
この型をデジタルスキャンします。

出来上がったデジタルの型がこちら

デジタルで歯のベースを作成していきます。


CAD-CAMで削り出します。




このようにベースとなる歯は出来上がりました。
つづく
2025.03.29 セラミック, 噛み合わせ, 審美歯科, 無料検査・カウンセリング
セラミックでの治療を最小限で美しく仕上げる方法 ⑥ いろんな歯の作り方1
こんにちは、ワイズデンタルキュアです。
今日からはいろんな歯の作り方をご紹介していきます。
セラミックと言えど、種類があります。
近頃はセラミックとジルコニアが別物のように言われる方がいますが
それを学んだソースが怪しいです。
歯科医院から学んだなら、そこの歯科医院の作るセラミック類は
確実に美しくはないです。
ジルコニアはセラミックです。
今日はこういう色の出し方があるというお話です。

普通であれば、歯の色合わせをしてその歯を作成しますが
セラミックは透けやすいです。
ですので、内部の歯の色にセラミックの色が左右されます。
なので、被さる支台歯も画像をとり、セラミックでそのまま作製します。

内部の立体物にあわせて外部を作っていく、という方法です。

これこそ内部構造から作る、本物の歯を作るという方法と言えます。

色を3Dで表現する、ということにはこのような努力をしていることも
あります。
では、また明日
セラミックでの治療を最小限で美しく仕上げる方法 ⑤ 新しい歯の削り方
こんにちは、ワイズデンタルキュアです。
今日は、セラミック治療の先進的な削り方についてお話いたします。
世の中には、歯科技工士さえ上手ければどんな風に歯を削ってもごまかせると
歯医者さえ、口にする方がいますがもちろんそれは嘘です。
下の症例です。

上が6本セラミックで仕上げてあります。


いままではセラミックは、境目を歯茎の高さよりも下
にすることがセオリーでした。
そうすると、
1.歯を削る量が体積として多くなる。結果神経に影響する。
2.歯茎が影響を受けて、下がっていくことがある。
3.磨きにくい
そういうことがデメリットとして考えられました。
これらを今の強度がでてきたセラミック材料を使用することで
改善できたのが、歯茎すれすれを境目とする方法。
削る量も一目瞭然。

歯茎すれすれの境目もこのような感じです。
このような方法は歯茎が影響を受けにくいので
対口臭として使用できるのです。

これが最新のセラミック補綴です。
セラミックでの治療を最小限で美しく仕上げる方法④バッカルコリドー
こんにちは、ワイズデンタルキュアです。
先日からお話を続けています、セラミックでの治療を最小限で美しく仕上げる方法
4回目
バッカルコリドー この白い枠の部分です。
お口の中が暗く見える、歯並びが美しく見えない環境の
一つです。

セラミックを作るときにこの角度を起こしてあげると
対策になります。
外側に貼っていくので、歯を削る量は最小になります。
効果は次の通りです。

綺麗に奥まで歯が見えるようになりました。
このように最小でセラミックを美しく見せる環境も大事な要素です。
2025.03.26 セラミック, セラミック矯正, 咬合, 噛み合わせ, 審美歯科, 歯列矯正, 無料検査・カウンセリング
セラミックでの治療を最小限で美しく仕上げる方法③
こんにちは、ワイズデンタルキュアです。
今日は、セラミックでの治療を最小限で美しく仕上げる方法 の3回目
まずはこちらをみてください。
形もさることながら、明らかな人工物です。
こちらにおなおししたのですが、いかがですか?

何が違うのでしょうか?
形?色?いいえ一番の違いはこちらです。

この2つはセラミックです。
何が違いますか?
片方はニセモノ、片方は本物の歯に見えませんか?
違いはこちらです。

歯の内部構造の再現です。
特に先っちょのマメロンと呼ばれる構造に特徴があります。
これだけで随分違うのです。
もう一回見てみましょう、画像を濃くした方がよく見えます。

わかりますか?このマメロン構造は、いわば歯の指紋です。
歯の構造を理解して作製することがとっても大事なのですが、
こういうものを作れる技工士さんも限られているのです。
セラミックでの治療を最小限で美しく仕上げる方法②
こんにちは、ワイズデンタルキュアです。
前回もお届けいたしました、セラミックでの治療を最小限で美しく仕上げる方法の
二回目です。
こちらもWAXーUPです。

このような歯並びです。このような歯並びをセラミックで仕上げるのでしたら

これは一つの案です。

とにかく歯並びから逸脱した前歯が今回の攻略ポイントでしたので

そちらは2本抜歯で対応いたしました。


治療に先立ち、どのようにするとこのようになる、と
状況を理解できます。
それをみて治療に向き合うのでも良し、やらぬも良しです。
もちろん噛み合わせの確認から、この内容が顎関節にどのように
影響するかも判断できます。
WAXーUP作製 ¥13200
2025.03.24 セラミック, セラミック矯正, 咬合, 噛み合わせ, 審美歯科, 歯列矯正, 無料検査・カウンセリング, 顎関節, 顎関節症
セラミックでの治療を最小限で美しく仕上げる方法①
こんにちは、ワイズデンタルキュアです。
セラミックで前歯を綺麗にしたい!そんな風に考えられる方が毎日カウンセリングに
いらしていただいていますが、
必ずお勧めしているのが、こちら

WAX―UP模型です。
これはこのような歯並びの方を

最小限、最小切削量で安全に仕上げるならどのようにするか
ご契約の前にご一緒に検討、理解しあえます。

こちらは

4本が裏側まで、クラウン。
ラミネートべニアが2本。
そんな設定であれば、ここまで治せますよ。という最小限整いプランで
ご案内します。
この計画がなければ
できあがるまで、どんな形で仕上げ、術者もとりあえず削るみたいなやり方しかできないのです。
カウンセリング時にご案内しています。
WAX-UP模型 ¥13200
2025.03.23 セラミック, セラミック矯正, 咬合, 噛み合わせ, 審美歯科, 無料検査・カウンセリング, 虫歯, 顎関節, 顎関節症
第三話 ワタシのベストを教えてください!歯がグラグラ、歯根は溶けて歯槽骨は溶けて、散々なこのケースの結末 【完成編】審美編
こんにちは、ワイズデンタルキュアです。
歯列矯正を失敗されたケース 完結編です。
結論今回のケースの歯列矯正で起きた状況は
1.噛み合わせを見失った(どこで噛んでいいのかわからなくなった)
2.骨と歯根のロストによる、歯の安定(歯がグラグラである)
3.見た目の悪化
これらが大まかな内容となります。
今回はこの3、見た目の悪化についてです。
これに関しましては、特にお気になさっていた、上の歯はすべて
補綴 セラミックで仕上げますので、いくらでも操作できます。
では見ていただきます。

画像暗めですが、下の状態がファイナルです。

本当は私は、この真っ白な感じをあまり好んでいないのですが
これが患者さんとお話ししたお望みであればそれでいいのです。
お口元がへの字口風である状態が口角が上がり目で変えられました。




このような状態で治療は収束いたしました。
費用に関しましてはハイグレードセラミック治療 一本 187000円
15本
咬合位確立、顎関節治療 495000円
今回、学ぶべきことは、
歯列矯正が下手ということはまずですが、
歯列矯正に頼りすぎた、ということです。
矯正前の状態はわからないので何とも言えませんが
ご本人の望まれるベスト
短期間で!歯並びを整える というニーズに対し
ご自身の医院の唯一の商品である、矯正というものだけで
何かを成し遂げようとしたことがまずはいかがかと思います。
歯列矯正に、明確な期間を要求することは困難です。
目安はできたとしても、必ず1年以内で、など言語同断です。
風邪をひいて、3日で治す、とかはわからないじゃないですか?
多分、1週間ほどでは治るよとはお伝え出来ますが、7日ではなく8日かもしれない。
歯列矯正は、不正歯列というものに対しての治療、であることをお忘れなく。
今回の失敗は、患者さんの短期間ニーズに無理やり答えようとして、無理やり最初から強い力を
歯に矯正力としてかけた先生がよろしくない。
短期間がどうしてもの課題ならば、選択として
1.あきらめてもらう
2.セラミックを使用して補綴的アプローチを勧める
シンプルにこの2つであれば、ここまでのことにはなっていないのです。
SNSではまるで、歯列矯正が善でセラミックを使用した歯並び修正が悪のような論争が続いています。
そんな本当は善悪などないものにとらわれているうちに、変なマウスピース矯正に騙されている患者さんが
続出しているのが、今の日本の歯並び事情です。
実際今回のお話の、短期間をどうしても臨んだ、前歯はもともと一本なくブリッジである
このような状態で数本の補綴で済んだかもしれないものを、
無理やり、短期間歯列矯正で済まそうとしたことは、まったくもって本人のベストではありません。

SNSはいつも善悪でにぎわってしまっています。
気が付くべきは
誰かの善は誰かの悪だということで、ベストは自分にしかないのだということ。
専門家はご本人のお声を必死に聞いて、その方の善を導くということ。
今回は専門家の善を貫いた結果、ご本人には悪となってしまった、ということです。
2025.03.20 SNS, インビザライン, セラミック, マウスピース矯正, 咬合, 噛み合わせ, 失敗, 審美歯科, 歯列矯正, 無料検査・カウンセリング, 顎関節, 顎関節症
第二話 歯がグラグラ、歯根は溶けて歯槽骨は溶けて、散々なこのケースの結末 【完成編】固定ということ
こんにちは、ワイズデンタルキュアです。
ご紹介もこれを入れて2回で終わります。歯列矯正を失敗されたケースです。
結論今回のケースの歯列矯正で起きた状況は
1.噛み合わせを見失った(どこで噛んでいいのかわからなくなった)
2.骨と歯根のロストによる、歯の安定(歯がグラグラである)
3.見た目の悪化
これらが大まかな内容となります。
前回は1をお話いたしましたので、2のお話をいたします。
2.骨と歯根のロストによる、歯の安定(歯がグラグラである)
これに関しましては、咬合の安定化を図り、骨を安定させるための固定ということに
なります。
それでは固定をどのようにしたか、お話いたします。

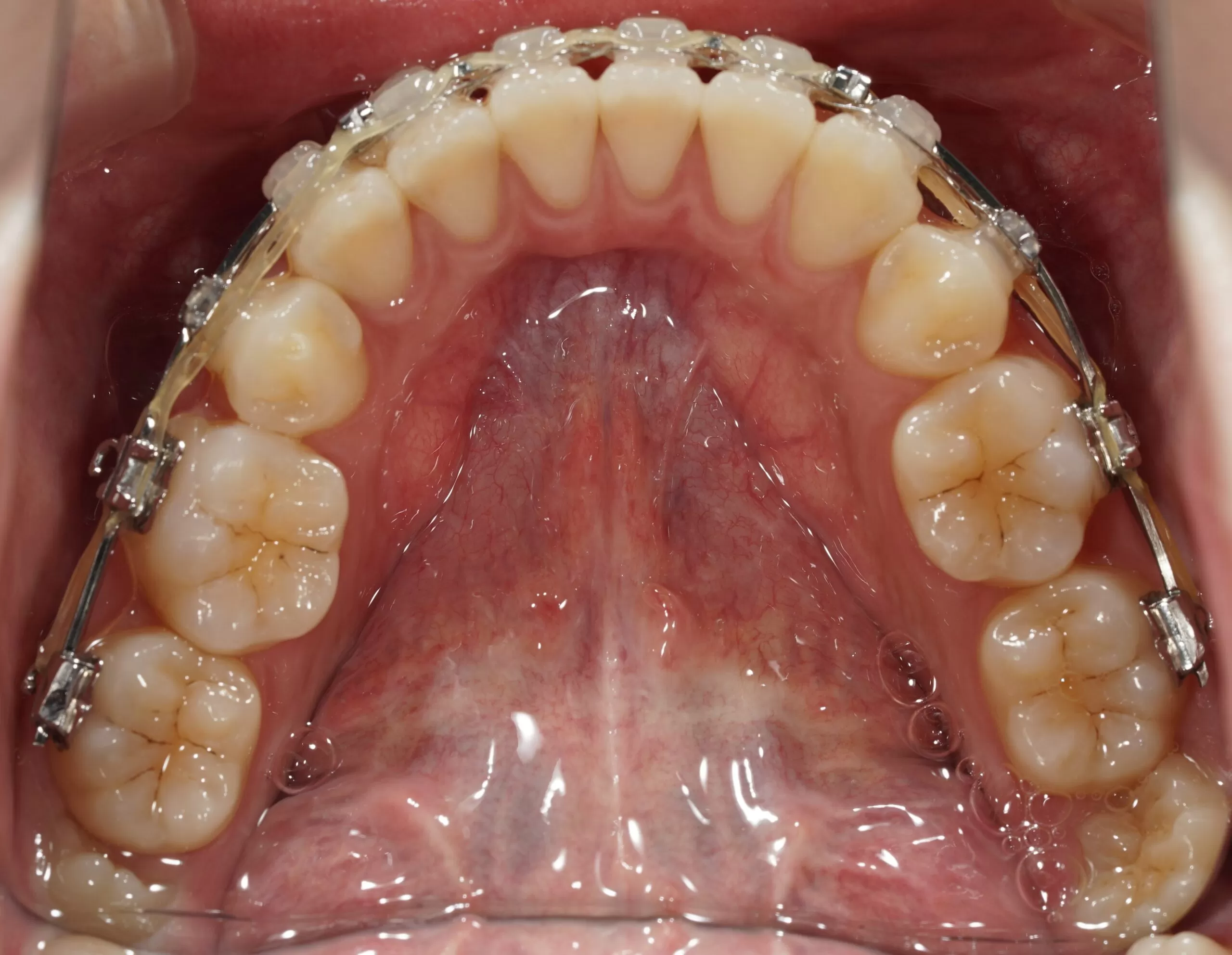
こちらはこのように

前は6本つないであります。臼歯部は3本ずつです。

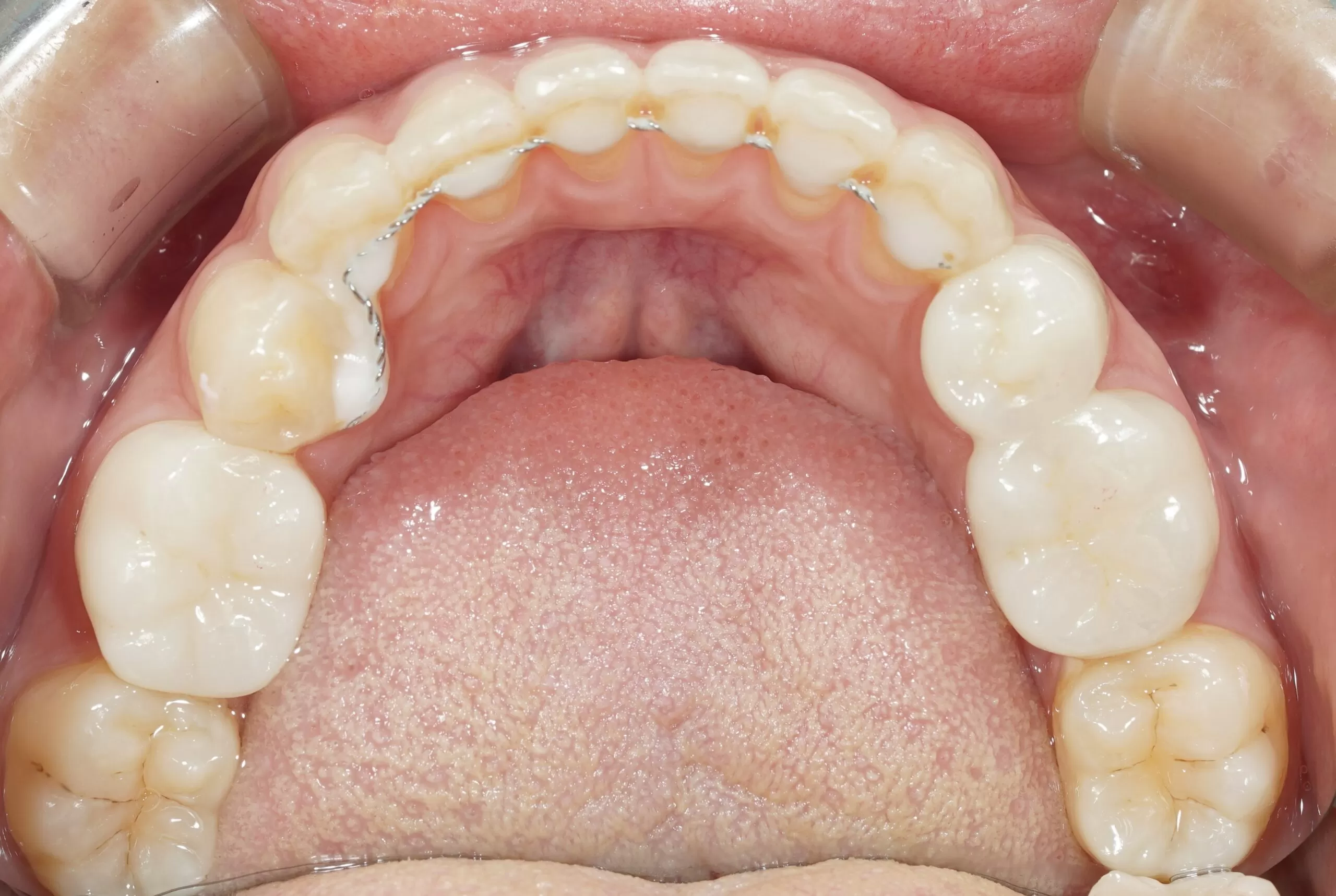
下の歯はこのようにしました。

噛み合わせができていない歯をかぶせることで安定させました。
これは3年後の骨の状態です。

穴が開いていた部分は骨ができていました。

反対側

こちらも修復されました。

歯が揺れなくなったからです。
2.骨と歯根のロストによる、歯の安定(歯がグラグラである)
に対してはこのように対応しました。
次回は3です。
歯がグラグラ、歯根は溶けて歯槽骨は溶けて、散々なこのケースの結末 【完成編】顎 顎関節
こんにちは、ワイズデンタルキュアです。
ご紹介の続いている、歯列矯正の明らかなる失敗ケースの検証の完成編です。
結論今回のケースの歯列矯正で起きた状況は
1.噛み合わせを見失った(どこで噛んでいいのかわからなくなった)
2.骨と歯根のロストによる、歯の安定(歯がグラグラである)
3.見た目の悪化
これらが大まかな内容となります。
これらを打開するものはセラミックによる補綴処置となります。
1に関しましては、
フェイスボウによる顎位検証、スプリントによる顎位決定です。

これは他の方の歯を横から見たところの模型です。
こちらの噛み合わせの時の顎の位置はこちら
そちらをスプリントという器具を作成して夜寝るときにはめていただきます。

これで噛み合わせをリセットすることで、顎の位置はマイルドに整います。
それで導いた顎の位置はこちらです。

下の顎が前方転移して奥歯が噛んできていないことがわかります。
この高さで、奥歯のかぶせ物を作ることが
成功した歯列矯正に近いのです!
このようにして失った噛み合わせは、顎の関節に聞く!ということで
リカバーです。

このようにして、この顎の位置を確立するのです。

奥歯の高さを顎の関節に聞いて、導きました。白い矢印
マイルドに顎は本来の噛む位置に、黄色の矢印
下の顎が前進する形で上の前歯は角度を垂直にできます。
出っ歯っぽいというのも、本当に上の歯がでているのかわかりません。
つづく
2025.03.18 くいしばり, セラミック, マウスピース矯正, 噛み合わせ, 審美歯科, 歯列矯正, 無料検査・カウンセリング, 裏側矯正, 顎関節, 顎関節症


